Gingivectomy |
Smiles by Nikki
If your gummy smile affects your confidence, discover how our gentle gingivectomy procedure can reveal your naturally beautiful teeth.
Reveal a Healthier, More Balanced Smile with Gentle Gum Contouring
At Smiles by Nikki, we specialize in transforming uneven or excessive gum tissue through gentle gingivectomy procedures. This advanced gum contouring technique removes overgrown tissue to reveal more natural tooth structure, improving both oral health and smile aesthetics.
We’ll guarantee your comfort with local anesthesia during the 30-60 minute procedure, and you’ll see results in just two weeks. Let us show you how a balanced gum line can enhance your confidence and overall appearance.

Understanding Gingivectomy and How It Improves Gum Health
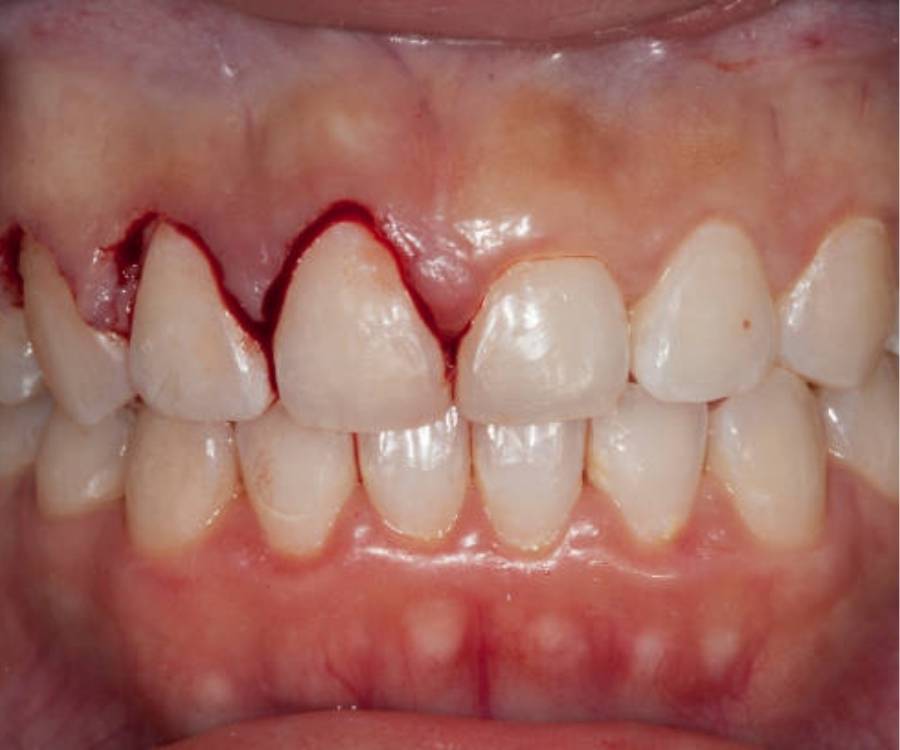
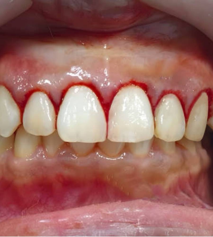
When excess gum tissue affects your smile’s appearance or oral health, a gingivectomy offers an effective solution to reshape and restore proper gum contours.
During this precise procedure, we carefully remove overgrown gum tissue to reveal more of your natural tooth structure and create a healthier gum line. A gingivectomy can address several concerns, including “gummy” smiles where too much gum tissue shows when you smile, or cases where excess gum tissue makes proper oral hygiene difficult. We’ll evaluate your specific needs during your consultation to determine if this procedure is right for you.
At our practice, we guarantee your comfort throughout the gingivectomy process. Dr. Nikki Sangha’s expertise and our modern techniques help deliver superior results while minimizing recovery time, letting you enjoy your enhanced smile sooner.
Brighten Your Smile with Expert Orthodontic Care
Experience treatment tailored to your comfort and confidence. From early care to advanced alignment solutions, every visit is designed to make you smile brighter.
When a Gingivectomy May Be Recommended by Your Orthodontist
Your orthodontist might recommend a gingivectomy in several specific scenarios that impact both oral health and smile aesthetics.
We commonly suggest this gum reshaping procedure when patients have excess gum tissue that makes teeth appear shorter than normal or creates an uneven gum line. This condition can affect your confidence and make proper oral hygiene challenging.
We’ll also recommend a gingivectomy if you’re experiencing gum overgrowth due to certain medications, genetic factors, or as a response to orthodontic treatment. The procedure may be necessary when deep gum pockets form, creating spaces where bacteria can accumulate and potentially lead to periodontal disease. At Smiles by Nikki, we carefully evaluate each case to guarantee a gingivectomy is the right solution for your specific needs.

What to Expect Before, During, and After a Gingivectomy Procedure
Before scheduling a gingivectomy procedure, we’ll conduct a thorough examination of your oral health and review your medical history to confirm you’re a suitable candidate.
During the consultation, we’ll explain the process and address any concerns you may have about the treatment.
The gingivectomy itself is performed under local anesthesia to guarantee your comfort. We’ll carefully remove excess gum tissue and reshape your gumline to achieve the best results. The procedure typically takes 30-60 minutes, depending on how much tissue needs to be removed.
After your gingivectomy, you can expect some mild discomfort and swelling for a few days. We’ll provide detailed aftercare instructions, including proper cleaning techniques and dietary recommendations. Most patients return to their normal activities within 24-48 hours, with complete healing occurring within two weeks.
How Gum Contouring Enhances the Balance and Beauty of Your Smile
Gum contouring through gingivectomy can dramatically transform the overall aesthetics of your smile.
When excess gum tissue covers too much of your teeth, it can create what’s known as a “gummy smile,” making teeth appear shorter than they actually are. Through precise gum contouring, we carefully reshape your gum line to reveal more of your natural tooth structure.
We’re committed to creating balanced, beautiful smiles that enhance your facial features. By adjusting the proportion between your teeth and gums, we can help you achieve a more harmonious smile that looks natural and appealing. The results of gum contouring are permanent, giving you lasting confidence in your appearance.
Creating Beautiful Smiles in Augusta, GA and beyond
From Augusta to surrounding communities, Smiles by Nikki is here to bring expert orthodontic care closer to home.
Local Care, Lasting Smiles
No matter where you live, our team is committed to delivering the same level of compassionate, high-quality orthodontic treatment. We’re proud to serve families throughout Georgia and South Carolina with care you can trust.
Expert Care and Gentle Techniques for Healthy, Even Gums
While performing gingivectomy procedures, we utilize advanced techniques and state-of-the-art tools to assure maximum comfort and precision.
Our experienced team takes every measure to make certain you feel relaxed and at ease throughout the entire process, using gentle methods that minimize any discomfort during the reshaping of your gum tissue.
We understand that each patient’s needs are unique, which is why we carefully evaluate your gum line and create a customized treatment plan. During your gingivectomy, we’ll maintain clear communication and carefully monitor your comfort level. Our expertise allows us to precisely remove excess gum tissue while preserving the health of your smile. We’re committed to helping you achieve balanced, aesthetically pleasing gums that complement your teeth perfectly.
Transform Your Smile with Precision, Comfort, and Lasting Results
We’re committed to transforming smiles through expert gingivectomy procedures, personalized care, and advanced techniques. From your first consultation to your final follow-up, we’ll guide you through every step, answer your questions, and guarantee your comfort. At Smiles by Nikki, we don’t just reshape gums – we reshape confidence, we enhance aesthetics, and we deliver results that bring out the natural beauty of your smile.
Ready to Start Your Smile Journey?
Take the first step toward a confident, healthy smile today. Our team at Smiles by Nikki is here to guide you with personalized care every step of the way.
